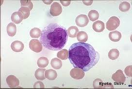
Tamaño: 20 µm
Forma: Redonda
Descripción
del núcleo y citoplasma:
Citoplasma azulado grisáceo, el núcleo suele ser irregular y con una
red fina de cromatina.
Relación
núcleo/citoplasma: Aumentada
Organelas
y/o inclusiones evidentes en la misma: Logran
percibirse nucléolos
Sitio
del cuerpo donde se pueden encontrar normalmente: Médula ósea

No hay comentarios.:
Publicar un comentario